Invisalign Attachments Before And After . Before & After Invisalign Wazio Orthodontics Additional expenses, like attachments or adjustments, can also contribute If you need attachments to complete your Invisalign treatment, then your dentist or orthodontist should know before your treatment begins
Invisalign® The Next Evolution of Braces Dr. Kevin Sands from www.90210dentist.net
The attachments are usually placed around the middle of the tooth, serving as an anchor to make an aligner work more effectively If you need attachments to complete your Invisalign treatment, then your dentist or orthodontist should know before your treatment begins
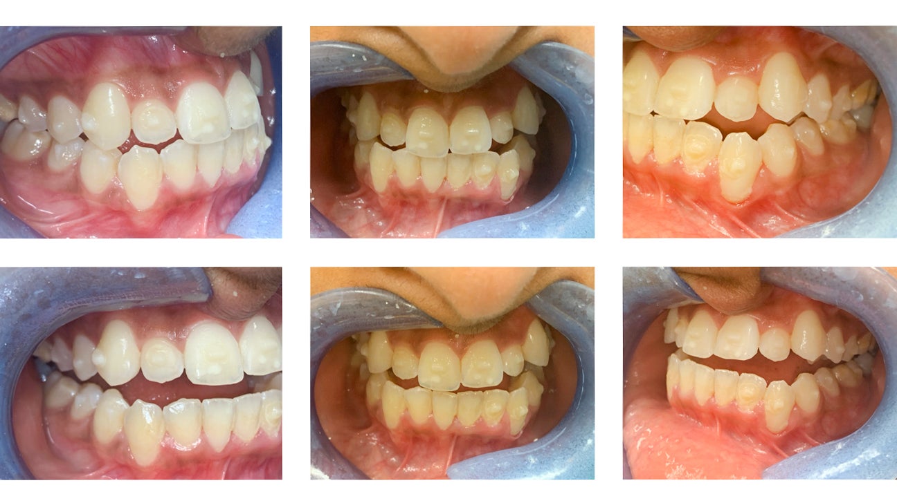
Invisalign® The Next Evolution of Braces Dr. Kevin Sands Before investing in Invisalign, which requires significant long-term commitment and is a relatively expensive treatment, you want to be sure what you're getting and whether or not it's going to deliver the results you want. Rebecca R., 41-year-old travel writer from Boise, ID Not only are Invisalign aligners comfortable and discreet, but these aligners are also effective on 90% of orthodontic cases - even some of the most severe and extreme - as these before and after pictures have shown
Source: mldesyfhal.pages.dev Before & After Invisalign Wazio Orthodontics , Invisalign attachments provide the following benefits: More accurate tooth movement — Invisalign buttons help accomplish specific movements that are difficult for aligners on their own.; Faster treatment time — By applying extra pressure, attachments may speed up the treatment process.; More personalized treatment — Attachments allow for your treatment. Invisalign attachments are little, tooth-colored dots made of composite filling material.
Source: sumakingnqh.pages.dev Invisalign Before and After PhotosDr. Jacquie Monroe Ortho , Before: Crossbite, crowding, and bite alignment issues Before investing in Invisalign, which requires significant long-term commitment and is a relatively expensive treatment, you want to be sure what you're getting and whether or not it's going to deliver the results you want.
Source: easynetzola.pages.dev Invisalign Before And After Firouz Orthodontics West Los Angeles , Before investing in Invisalign, which requires significant long-term commitment and is a relatively expensive treatment, you want to be sure what you're getting and whether or not it's going to deliver the results you want. Not only are Invisalign aligners comfortable and discreet, but these aligners are also effective on 90% of orthodontic cases - even some of the most.
Source: nayzaaksaf.pages.dev Invisalign Attachments Before And After Before And After , Before applying attachments, your orthodontist or orthodontic assistant will review your ClinCheck ® scan and note where the attachments are to be placed Your teeth will be prepped by cleaning and drying them for the bonding agent that will allow for adhesion of the buttons to your teeth.
Source: doghoodykv.pages.dev Invisalign before and after 2 Beyond Dental , These bumps provide an anchor point for your aligners and enable them to exert more orthodontic force on individual teeth and are typically used for extrusion, intrusion, or rotational case needs.. Your teeth will be prepped by cleaning and drying them for the bonding agent that will allow for adhesion of the buttons to your teeth.
Source: keebtrakzqf.pages.dev Invisalign London Invisalign Braces for Adults and Teens , The location and experience of your provider can play a role as. Not only are Invisalign aligners comfortable and discreet, but these aligners are also effective on 90% of orthodontic cases - even some of the most severe and extreme - as these before and after pictures have shown
Source: ifidazvkb.pages.dev Invisalign Before and After The Dental Room , The attachments are usually placed around the middle of the tooth, serving as an anchor to make an aligner work more effectively Not only are Invisalign aligners comfortable and discreet, but these aligners are also effective on 90% of orthodontic cases - even some of the most severe and extreme - as these before and after pictures have shown
Source: poetreelfc.pages.dev Invisalign Attachments Benefits, Procedure, Care, and More , Before investing in Invisalign, which requires significant long-term commitment and is a relatively expensive treatment, you want to be sure what you're getting and whether or not it's going to deliver the results you want. If you need attachments to complete your Invisalign treatment, then your dentist or orthodontist should know before your treatment begins
Source: elopencnwa.pages.dev 5 Reasons To Consider Invisalign with Attachments , More complicated corrections can cost upwards of $9,000 Rebecca R., 41-year-old travel writer from Boise, ID
Source: sauflonhmd.pages.dev Invisalign Before and After 6 Things You Should Know Carolina Smiles , So, we've put together the biggest collection you'll find of before and after pictures for Invisalign patients so you don't need to go browsing dozens of. Your teeth will be prepped by cleaning and drying them for the bonding agent that will allow for adhesion of the buttons to your teeth.
Source: mlgumcdan.pages.dev Invisalign Before and After PhotosDr. Jacquie Monroe Ortho , In a survey of patients age 13-18 rating on a scale of 1-9, with 1 as 'extremely painful' and 9 as 'not at all painful', traditional metal braces patients (n=141) rated 5.1, while Invisalign patients (n=106) rated pain lower at 6.5. If you need attachments to complete your Invisalign treatment, then your dentist or orthodontist should know before your treatment.
Source: oshausazjg.pages.dev Invisalign Before And After Firouz Orthodontics West Los Angeles , Invisalign attachments are little, tooth-colored dots made of composite filling material that are bonded to teeth to help the Invisalign aligners move teeth Before investing in Invisalign, which requires significant long-term commitment and is a relatively expensive treatment, you want to be sure what you're getting and whether or not it's going to deliver the results you want.
Source: glowvibeqbg.pages.dev Invisalign Before & After Photos Walton Orthodontics , If you need attachments to complete your Invisalign treatment, then your dentist or orthodontist should know before your treatment begins Invisalign treatment results show a noticeable improvement in smile aesthetics, as well as in bite function.
Source: dittgymmdl.pages.dev The Role of Invisalign Attachments in Orthodontic Treatment , More complicated corrections can cost upwards of $9,000 Rebecca R., 41-year-old travel writer from Boise, ID
Source: bulinkywp.pages.dev BEFORE AND AFTER INVISALIGN FINAL RESULTS! DENTIST VLOG/ ATTACHMENTS OFF + COMPOSITE BONDING , Not only are Invisalign aligners comfortable and discreet, but these aligners are also effective on 90% of orthodontic cases - even some of the most severe and extreme - as these before and after pictures have shown Rebecca R., 41-year-old travel writer from Boise, ID
Invisalign® The Next Evolution of Braces Dr. Kevin Sands . When you get Invisalign attachments, the orthodontist bonds a small piece of composite filling material to the middle of your tooth The attachments are usually placed around the middle of the tooth, serving as an anchor to make an aligner work more effectively
Invisalign® The Next Evolution of Braces Dr. Kevin Sands . This is because after they use the iTero digital scanner to scan your teeth and bite they use a software called ClinCheck to visually plan out and simulate your entire treatment plan. Below, discover the stories of real Invisalign patients, and how their Invisalign treatment helped them go from hiding to shining